

症例紹介

歯列矯正治療の症例をご紹介いたします。
こちらでは、主に裏側ワイヤー矯正で治療を行った
歯列矯正治療の実際の症例をいくつかご紹介いたします。
治療をご検討中の方は、どうぞ、参考にしてください。
ブルーライン
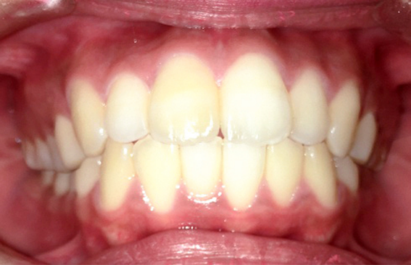
クラウディング(不正咬合・でこぼこ歯)の歯列矯正 1



上下の歯の隙間が、通常よりも開いており、目立っている。また、上下の歯列が乱れている状態です。





裏側ワイヤー矯正とマウスピースで綺麗な歯並びになりました。
治療内容
裏側ワイヤー矯正(両顎)
+ マウスピース4セット
歯の裏側にブラケット(歯にワイヤーを固定する装置)を装着することで、表側からは矯正していることがわかりづらい、裏側ワイヤー矯正を9ヶ月間実施。その後、並んだ歯の調整のため、マウスピースを使用して3ヶ月ほど歯列矯正治療を行いました。
治療期間
12ヶ月
施術の来院回数
12回
費用
555,500円(税込)
内訳:矯正治療 495,000円(税込・モニター価格)・調整費 60,500円(5,500円×11回)
※2026年2月1日より価格を改定いたしました。詳しくはこちらをご確認ください。
副作用とリスク
- 非常に稀なケースですが、金属アレルギーが生じる場合があります。
- 歯に接着されたブラケットが、歯から外れる場合があります。
- ブラケットに装着したワイヤーが一部外れる場合があります。
- 治療開始後、歯が動くことによって痛みを感じる場合があります。(通常は数日で治まります)
- シミュレーション結果とは異なる場合がありますが、治療しながら調整していきます。
- 歯列矯正治療の完了後、歯が元の状態に戻る場合があります。(後戻り)
ブルーライン
クラウディング(不正咬合・でこぼこ歯)の歯列矯正 2



上の前歯が下の前歯を覆うように隠しています。
また、上下ともに歯列が乱れており、犬歯の下に隙間ができています。





裏側ワイヤー矯正とマウスピースで綺麗な歯並びになりました。
治療内容
裏側ワイヤー矯正(両顎)
+ マウスピース6セット
歯の裏側にブラケット(歯にワイヤーを固定する装置)を装着することで、表側からは矯正していることがわかりずらい、裏側ワイヤー矯正を10ヶ月間実施。その後、並んだ歯の調整のため、マウスピースを使用して4ヶ月ほど歯列矯正治療を行いました。
治療期間
14ヶ月
施術の来院回数
14回
費用
566,500円(税込)
内訳:矯正治療495,000円(税込・モニター価格)・調整費 71,500円(5,500円×13回)
※2026年2月1日より価格を改定いたしました。詳しくはこちらをご確認ください。
副作用とリスク
- 非常に稀なケースですが、金属アレルギーが生じる場合があります。
- 歯に接着されたブラケットが、歯から外れる場合があります。
- ブラケットに装着したワイヤーが一部外れる場合があります。
- 治療開始後、歯が動くことによって痛みを感じる場合があります。(通常は数日で治まります)
- シミュレーション結果とは異なる場合がありますが、治療しながら調整していきます。
- 歯列矯正治療の完了後、歯が元の状態に戻る場合があります。(後戻り)
ブルーライン
クラウディング(不正咬合・でこぼこ歯)の歯列矯正 3



上下とも歯列が乱れている上、上の前歯が下の前歯にかぶさるようになっています。
また、上下の歯の隙間もあいている状況です。





裏側ワイヤー矯正とマウスピースで綺麗な歯並びになりました。
治療内容
裏側ワイヤー矯正(両顎)
+ マウスピース6セット
歯の裏側にブラケット(歯にワイヤーを固定する装置)を装着することで、表側からは矯正していることがわかりずらい、裏側ワイヤー矯正を11ヶ月間実施。その後、並んだ歯の調整のため、マウスピースを使用して4ヶ月ほど歯列矯正治療を行いました。
治療期間
15ヶ月
施術の来院回数
15回
費用
572,000円(税込)
内訳:矯正治療495,000円(税込・モニター価格)・調整費 77,000円(5,500円×14回)
※2026年2月1日より価格を改定いたしました。詳しくはこちらをご確認ください。
副作用とリスク
- 非常に稀なケースですが、金属アレルギーが生じる場合があります。
- 歯に接着されたブラケットが、歯から外れる場合があります。
- ブラケットに装着したワイヤーが一部外れる場合があります。
- 治療開始後、歯が動くことによって痛みを感じる場合があります。(通常は数日で治まります)
- シミュレーション結果とは異なる場合がありますが、治療しながら調整していきます。
- 歯列矯正治療の完了後、歯が元の状態に戻る場合があります。(後戻り)
ブルーライン
オープンバイト(開咬)の歯列矯正



上下の歯に隙間が生じる、いわゆるオープンバイト(開咬)の状態です。
また、多少、歯列に乱れが生じています。





裏側ワイヤー矯正とマウスピースで綺麗な歯並びになりました。
治療内容
裏側ワイヤー矯正(両顎)
+ マウスピース6セット
歯の裏側にブラケット(歯にワイヤーを固定する装置)を装着することで、表側からは矯正していることがわかりずらい、裏側ワイヤー矯正を6ヶ月間実施。その後、並んだ歯の調整のため、マウスピースを使用して4ヶ月ほど歯列矯正治療を行いました。
治療期間
10ヶ月
施術の来院回数
10回
費用
544,500円(税込)
内訳:矯正治療495,000円(税込・モニター価格)・調整費 49,500円(5,500円×9回)
※2026年2月1日より価格を改定いたしました。詳しくはこちらをご確認ください。
副作用とリスク
- 非常に稀なケースですが、金属アレルギーが生じる場合があります。
- 歯に接着されたブラケットが、歯から外れる場合があります。
- ブラケットに装着したワイヤーが一部外れる場合があります。
- 治療開始後、歯が動くことによって痛みを感じる場合があります。(通常は数日で治まります)
- シミュレーション結果とは異なる場合がありますが、治療しながら調整していきます。
- 歯列矯正治療の完了後、歯が元の状態に戻る場合があります。(後戻り)
ブルーライン
スペーシング(すきっ歯・空隙歯列)の歯列矯正



上の前の間に大きな隙間が空いている、いわゆる「すきっ歯」の状態です。また、下の歯にも隙間が見られ、上の前歯が下の前歯を覆うように出ています。





裏側ワイヤー矯正とマウスピースで綺麗な歯並びになりました。
治療内容
裏側ワイヤー矯正(両顎)
+ マウスピース4セット
歯の裏側にブラケット(歯にワイヤーを固定する装置)を装着することで、表側からは矯正していることがわかりずらい、裏側ワイヤー矯正を9か月間実施。その後、並んだ歯の調整のため、マウスピースを使用して3ヶ月ほど歯列矯正治療を行いました。
治療期間
12ヶ月
施術の来院回数
12回
費用
555,000円(税込)
内訳:矯正治療495,000円(税込・モニター価格)・調整費 60,500円(5,500円×11回)
※2026年2月1日より価格を改定いたしました。詳しくはこちらをご確認ください。
副作用とリスク
- 非常に稀なケースですが、金属アレルギーが生じる場合があります。
- 歯に接着されたブラケットが、歯から外れる場合があります。
- ブラケットに装着したワイヤーが一部外れる場合があります。
- 治療開始後、歯が動くことによって痛みを感じる場合があります。(通常は数日で治まります)
- シミュレーション結果とは異なる場合がありますが、治療しながら調整していきます。
- 歯列矯正治療の完了後、歯が元の状態に戻る場合があります。(後戻り)
お問合せ・無料カウンセリングの
お申込みはこちらから
当院に関する質問や疑問などありましたら、LINEにてお気軽にご相談ください。
初回無料カウンセリングのお申込みも、LINEにてお願いいたします。















